Comment nous joindre?

Téléphone : +41 22 346 27 93

Email : info@dentiste-champel.ch

Heures d'ouverture

Lundi : 08:00 - 12:00 / 14:00 - 18:00

Mardi et jeudi : 08:00 - 20:00

Mercredi : 09:00 - 20:00

Vendredi : 08:00 - 12:00 / 14:00 - 18:00

Rendez-vous en ligne
Eng

Soins Dentaires

Gouttière de nuit / Réhabilitation prothétique globale

Bruxisme, Clenching et Réhabilitation Dentaire à la Clinique Dentaire de Champel

Certains facteurs de risque tels que le stress, l’anxiété, des traumatismes psychologiques ou encore la prise de certains médicaments et substances peuvent déclencher des réflexes inconscients et répétés : le serrement des dents (clenching) ou le grincement des dents (bruxisme), survenant aussi bien de jour que de nuit.

Ces phénomènes sollicitent intensément les muscles masticatoires et peuvent provoquer des tensions musculaires importantes, responsables de maux de tête fréquents, de raideurs, de fatigue, voire de nausées. Ils peuvent ainsi constituer un véritable handicap dans la vie quotidienne.

Certaines études scientifiques ont également mis en évidence un lien entre le bruxisme et les troubles de l’articulation temporo-mandibulaire.

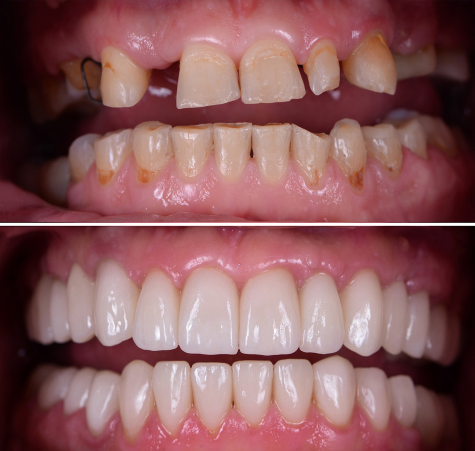
Au niveau dentaire, le bruxisme et le clenching entraînent une usure fonctionnelle des dents, avec un aspect court ou « rasé » pouvant provoquer des désordres masticatoires et altérer l’esthétique du sourire.

La prise en charge commence par une anamnèse complète et un entretien avec le dentiste afin de déterminer la cause des dysfonctionnements mandibulaires et de travailler conjointement avec le patient. Selon les besoins, le traitement peut être pluridisciplinaire, impliquant psychologues, physiothérapeutes ou chirurgiens maxillo-faciaux.

La gouttière de nuit constitue le traitement de choix au sein de notre cabinet dentaire. Conçue sur mesure et la moins encombrante possible, elle se porte sur l’arcade supérieure pendant le sommeil. La gouttière protège les dents de l’usure en empêchant le contact direct entre les dents antagonistes et induit un étirement bénéfique des muscles masticatoires, soulageant ainsi les contractures et nœuds musculaires.

Outre le bruxisme, d’autres facteurs peuvent endommager les dents de manière chronique, tels que la consommation régulière de boissons acides (sodas, jus, etc.) ou les vomissements fréquents liés à certains troubles alimentaires (boulimie, anorexie).



Lorsque l’usure dentaire devient sévère, une réhabilitation prothétique complète peut être envisagée.

Cette approche vise à reconstruire fonctionnellement et esthétiquement l’ensemble des dents, grâce à l’utilisation de couronnes dentaires, d’onlays et de facettes dentaires, redonnant au patient un sourire harmonieux et durable.

Cette réhabilitation est réalisée en étroite collaboration avec un technicien dentaire expert, sous la supervision attentive du dentiste au sein de notre clinique dentaire de Champel.